科技改变生活 · 科技引领未来
牙齿打桩,对于大部分有口腔问题的患者而言是不太熟悉的,可能在被医生告知需要进行打桩的治疗之前,对于此项治疗手段并没有过多的了解,今天我们就来讲一下什么是牙齿打桩,什么情况下需要牙齿打桩,牙齿打桩的材料又有哪些。采用人工种植还是进行桩冠修复需
牙齿打桩,对于大部分有口腔问题的患者而言是不太熟悉的,可能在被医生告知需要进行打桩的治疗之前,对于此项治疗手段并没有过多的了解,今天我们就来讲一下什么是牙齿打桩,什么情况下需要牙齿打桩,牙齿打桩的材料又有哪些。
采用人工种植还是进行桩冠修复需要根据具体情况进行选择。

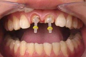
牙齿打桩指的是将一个金属材质或者纤维材质的桩安放在患者的牙根内,起到一个固定的作用。
而需要进行牙齿打桩的牙齿一般是牙冠有龋齿且损伤较大,或者是患者突遇外伤后不小心折断了大部分的牙齿。
这种情况下如果只是进行单纯的补牙或者是填充的话,填补材料的牢固性可能不高,容易松动脱落,并且存留在口腔内部的牙体也更容易发生折断。所以在牙体根管处进行打桩,以保证填补材料的稳固性以及避免剩余牙体发生断裂。
需要打桩的情况,一般有以下几种:
1,大部分牙冠缺失。由于患者牙体龋齿到深龋阶段或者是外伤导致牙冠大部分缺失。
2,牙体缺失但根面完好、牙周健康的患者。
3,牙齿畸形或者错位。患者的牙体出现扭转且没有及时进行正畸或者是磨牙固位不良的患者。
牙齿打桩的材料一般有两种:金属和纤维。这两种桩体各有特色,可以根据患齿的具体情况进行区分和选择:
1,金属桩。
这种桩体由金属所制成,还可划分为合金材料、不锈钢材料等。
金属的桩体一般强度较高,比较坚固,能比较好地固定牙根,使其不会轻易被折断;且金属材质的耐腐蚀性比较高,金属桩体是比较耐腐蚀的,耐用程度高。
2,纤维桩
这种桩体主要成分是纤维,更为美观,可以与全瓷冠的牙冠配合使用,能较好满足患者的外观需要。
与金属桩体相较,纤维不会对一些医学影像检查的结果造成什么影响。纤维桩的耐腐蚀性也比较高,对于患者进食有较大刺激性的食物不会有太大的反应变化。
这两种材质的桩体并没有绝对的好与不好,可以根据患者所需要修复的牙体的位置来进行相应的选择。
对于患者的大磨牙来讲,可以选择金属桩来进行修复,因为磨牙处于口腔后侧,对美观程度的要求比较低,且金属桩的强度会相对而言高一些,更适合磨牙的使用需求。
而如果患者需要修复的牙体是前牙的话,从美观性能的角度考虑,纤维桩是更合适的,能更符合患者的外观需求。
不过结合众多因素,牙齿打桩最好都选择纤维桩,综合其各方面来讲,是要优于金属桩的,且不会影响后期患者其他身体检查。但是纤维桩在价格上是高于金属桩的,需要患者有一定的经济能力。根据患者的自身情况,可进行选择。
桩冠修复,需要将患者髓腔内的残髓全部清除,还要多次清洗消毒封活,然后才能将桩打入牙根内部,再在桩体上安装牙冠。
因为桩冠修复需要的牙体保留完好的牙根,建议患者在进行根管治疗之后,留一段时间进行观察,以判断牙体的状况是否适合进行打桩,且最好能够选择纤维桩,保证牙体在美观度的坚固度都得到满足。
再有可利用的牙根的情况下,牙齿打桩是另一种恢复缺失牙体的治疗手段,用患者自身的牙根作为基础,相对于种植牙的人工牙根来讲,其稳定性还是较高的。但患者在进行牙齿打桩前也需要对其进行充分的了解。做好牙齿打桩,可以保证更好地修复牙体及完善牙齿功能。
我是牙科医生黄征难,35年从业经历,如果你有任何口腔问题,欢迎在主页私信咨询,或评论留言!可以私信牙片,我来帮你免费问诊!
张楠
