科技改变生活 · 科技引领未来
爱美之心人皆有之,从10年开始的美容护肤到微整再到口腔美容,我前后花了将近千万的心理路程,希望能帮到各位。做而不敢希望能够了解更全面,避免踩坑。那今天给大家说一下牙齿美白的危与好。各自斟酌。相信大家都知道仅仅靠刷牙,我们的牙齿很难真的美白。
爱美之心人皆有之,从10年开始的美容护肤到微整再到口腔美容,我前后花了将近千万的心理路程,希望能帮到各位。做而不敢希望能够了解更全面,避免踩坑。那今天给大家说一下牙齿美白的危与好。各自斟酌。
相信大家都知道仅仅靠刷牙,我们的牙齿很难真的美白。所以为了有一口健康洁白的牙齿,我尝试过不同的方式做美牙项目,什么美白牙膏,冷光美白,烤瓷牙,瓷贴面等等都有做过相应的了解。那它们到底有什么优缺点呢?接着往下看。
首先我们先了解为什么我们的牙齿会黄,四环素牙这些等问题。
(1)先天后天因素都会让牙齿变黄:如果不考虑疾病的因素,那么矿化程度越高的牙齿,理论上会更加坚固,但是也越可能「透」出内部牙本质的黄色来,看上去也就会越「黄」。这就解释了为什么小朋友的乳牙看上去会更白——因为乳牙的矿化程度往往比成人的恒牙要差许多。

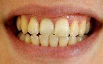
牙齿变黄,影响美观
(2)除了先天牙齿钙化程度不同导致的颜 色差别,下面是比较常见的牙齿变黄的原因:长期的抽烟、喝茶以及一些铁剂补充,可能会导致牙齿染色。蛀牙、牙结石沉积导致的牙齿黄。蛀牙在发展的过程中最典型的就是牙齿硬组织变色、崩解;牙结石本身就发黄甚至发黑,附着在牙齿表面也会让牙齿变黄。非龋性疾病,比如氟斑牙、四环素牙也会引起牙色变化。
(3)前者是因为牙齿发育阶段接触高氟饮用水、慢性氟中毒;而后者是因为在牙齿发育的阶段接触了四环素类的抗菌药。让牙齿变白,先去除疾病因素,针对不同的原因,处理方案当然有所差异。如果是蛀牙等疾病引起的牙齿变色,哪里有蛀洞就应该及早用树脂材料不起来——既恢复了健康,又恢复了美观。
(4)定期洗牙可以让牙结石得到及时清理,会让因为牙结石导致牙齿看上去变黄的问题得到解决,同时洁牙也可以清除牙齿的外源性着色,如咖啡渍、茶渍等。不过洁牙只能去除牙釉质表面的颜色,更多人在意的牙齿发黄是牙本质本身天生的颜色或外源性的牙本质染色。
一些情况下,疾病状态解除后,人们对自己的牙色依然不满意,这就需要锦上添花的操作了。
1.美白牙膏效果一般
市面上的美白牙膏琳琅满目,不过作用嘛……如果不加PS效果,其实还是一般般的,不能说完全没效果,只是因为接触时间短,可能安慰剂的作用更大一些,真的想要牙齿白,可能还得试试其他方法。
2.冷光美白效果短暂
冷光美白,学名叫牙齿漂白治疗。这种治疗是在短时间内,将少量可控制的氧化剂(如过氧化氢——也就是双氧水的主要成分)置于牙冠处进行漂白,同时辅助使用激光、红外线、蓝光(冷光)照射从而增加脱色效果。冷光美白由于是在高强度蓝光下操作,缺点容易造成强烈酸痛感,引起牙龈出血,令牙齿出现损伤,而且其美白效果是维持一年左右,时效会较短。牙齿冷光美白一般不伤牙齿,但要小心副作用。 其中冷光美白的最大副作用是牙齿敏感,根据数据统计,大约六成的人会发生敏感症状。严重的话,牙齿又酸又痛,不敢吃冷的也不敢吃热的。
价钱:2000-5000一次不等
优势:#冷光美白#效果还是比较显著的,护理到位美白效果在几个月后会渐渐消失,那时候就需要再次做美白。做一次的价格在大几千,如果只是尝尝鲜的小伙伴不妨可以做一下冷光美白。
劣势:技术不好的医师给你做的冷光美白容易造成口腔疾病和牙齿过敏。
现在有很多商家了解到了市场的需求,从而推广了很多什么家庭式冷光美白仪,可以用低廉的价格购买仪器,自己在家做。我相信看了我这篇文章的小伙伴应该多少都有一些理性思考问题,在美容院做的冷光美白都有些小问题,何况自己做,所以千万别贪小便宜让以后花更多的钱去口腔医院。
3.烤瓷牙
烤瓷牙是前几年新兴的一个口腔美容项目,但是争议也是最多的一个,说到#烤瓷牙#,大家第一印象想到刘涛的那全口「美容牙」,为了美把自身牙齿「磨小」,做个「烤瓷冠」套在上面,她也因「美容牙」受尽了折磨,甚至在微博上声泪俱下后悔不该去做美容牙。当然,我们身边也有很多这样的例子,因为做烤瓷牙不得不「磨牙」,这一环节让很多人感到「害怕」甚至「后悔」。 为什么要磨小牙齿?磨牙是做烤瓷牙非常重要的一道程序,也是很多医生所不愿意的,但毕竟这种「修复方式」仍然是目前从「力学」角度讲最为理想的,是可以90%恢复咀嚼功能的方式。
1)为了良好的「固位型」和「抗力型」,保证烤瓷牙的效果和美观。
2)保证牙齿的「修复空间」足够,是保证修复体「强度」、「厚度」和「美观」的一个必不可少的步骤。当然,磨去多少、如何计算牙齿的「受力」等,非一个缺乏经验的医生所能「胜任」。如果磨牙做不好,即使选择再好的烤瓷牙材料也是「失败」的。
磨牙会伤害牙齿吗?
做#烤瓷牙#一般需要将牙齿磨到绿豆大小,然后再在上面给牙齿套上金刚罩,让它避免受到外界「细菌」的侵害,这样不仅能恢复「牙齿美观」,也不影响原有的「咀嚼功能」。但是,在磨牙过程中,牙科「器械」与「口腔组织」亲密接触,所以对医生技术、医院资质有很高的要求。如果是一些不具备「医疗资质」的机构,「技术经验」不足的来磨牙可能会导致一些问题。很常见的就是磨牙伤害到「牙龈组织」甚至「牙髓」,还有因为「操作不当」易使烤瓷牙与原牙「不密合」,烤瓷牙「边缘」刺激牙龈使「牙龈肿痛」,易得「牙周病」伤害牙齿。
价格:600-3000不等(看材质以及地方人均水平/1颗价格)
所以做不做烤瓷牙,需要各位亲慎重考虑,毕竟关爱牙齿没有错,但是为了好看而损伤到自己的身体就有点得不偿失,那做什么项目才能达到一个令自己满意的效果而又不伤害到自己的牙齿呢? 不妨继续往下了解全瓷贴面。
4.全瓷牙、瓷贴面才是最佳优选方案
牙齿贴片是一种牙齿美容修复技术,又称为#牙齿贴面#。目前临床上应用较多的为#瓷贴面#和#树脂贴面#,都是通过将人工修复体固定于患牙唇面,以遮盖影响美观的缺损、变色等牙齿缺陷。其中树脂贴面选用复合树脂材料直接黏结于牙面上,方法简单而实用,费用较低,但美观度和牢固度稍差。瓷贴面是应用粘接材料将薄层人工瓷修复体固定于患牙唇面,修复材料不易脱落,一般可维持5~10年乃至更久,但费用较树脂贴面昂贵。
树脂贴面:直接用树脂在患者口内制作的贴面,其最大的优点是方便、快捷、迅速。可以快速改善患者的前牙美观。对于前牙氟斑牙、轻度四环素牙、过小牙、牙间隙、外伤牙部分缺损等情况,如果患者短期内无法接受瓷贴面以及超瓷贴面的费用,不失为短期改善美观的过渡性修复体。间接贴面修复 主要采用陶瓷或硬质复合树脂类材料在模型上制作完成。间接贴面的制作不受椅旁操作时间限制,故可在口外进行充分地修形、调改和磨光,其修复效果常常优于直接贴面。
优点:优点是方便、快捷、迅速。可以快速改善患者的前牙美观。
劣势:因为树脂材质,性质偏软,容易崩坏脱落,寿命短,后期维护麻烦。美观方面不如瓷贴面,看一起会有点死白 不自然。
价格:600-3000不等(1颗价格)
瓷贴面:是应用粘结材料将薄层人工瓷修复体固定在患牙唇面以遮盖影响美观的缺损变色等缺陷的一种修复方法。其作为一种保存性修复治疗手段,近年来广泛用于临床,尤其适于对年轻恒牙、髓腔较大的前牙进行牙齿美容修复。瓷贴面具有颜色美观、备牙量少、抗液体吸收、生物相容性好、抗磨损、牙周保健及粘结牢固可靠等优点。
价格1000-8000不等(1颗价格)
优点:不损害牙齿健康,寿命长(10-20年),硬度大不容易出现崩坏现象,美观方面多个色号选择,无论从 光泽,润滑,自然来说 都比其他美牙项目要靠谱一些。
劣势:有点小贵,需要各位小伙伴斟酌腰包。嘿嘿。
总结:那么多的美牙项目,什么才是我们该选择的呢,首先,大家要明白一条的是我们选择做美牙项目的目的是什么,我个人是比较爱惜自己的,我了解做那么多美容项目 如果让我选 最让我满意的是全瓷贴面,毕竟它不会让我牙齿受到损伤又能美白牙齿。性价比,如果我说全瓷贴面是所有美牙项目中最具备性价比,或许大家都不信,其实很好计算,如果想要长久保持牙齿美白的小伙伴,只是单一的看了价格就退怯,那我是挺不建议你做美牙项目的,咱们举个例子 长远来看,冷光美白一次价格2-5K 还只能保持1年左右,如果5年呢10年呢?这个价格会涨的嘛,反观我做全瓷贴面前期或许会有些许心痛,但是寿命周期长平均下来比冷光美白要更少。 所以怎么选,看各位小伙伴了。
刘楠明
