科技改变生活 · 科技引领未来
牙源性颌骨囊肿,是原发于颌面部最为常见的良性囊性病变,是指牙齿形成器官的上皮或上皮剩余发生的一组囊肿。由于颌骨内的成牙组织常可作为囊肿和肿瘤的组织来源,因此颌骨是人类骨骼中最好发上皮性囊肿和肿瘤的部位。牙源性颌骨囊肿一般可分为发育性牙源性囊
牙源性颌骨囊肿,是原发于颌面部最为常见的良性囊性病变,是指牙齿形成器官的上皮或上皮剩余发生的一组囊肿。由于颌骨内的成牙组织常可作为囊肿和肿瘤的组织来源,因此颌骨是人类骨骼中最好发上皮性囊肿和肿瘤的部位。
牙源性颌骨囊肿一般可分为发育性牙源性囊肿和炎症性牙源性囊肿两大类。前者是由牙齿发育和/或萌出过程中的某些异常所致,而后者则与颌骨内存在的炎症病灶有关。

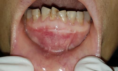
图一:患者图片
这个患者三个月前开始下前牙区肿痛,临床体查见下前牙区局部膨隆。病理活检报告:符合牙源性囊肿。
发育性牙源性囊肿:
发育性牙源性囊肿又包括含牙囊肿、婴儿龈囊肿、成人龈囊肿、发育性根侧囊肿、萌出囊肿、腺牙源性囊肿。
(1)含牙囊肿又称为滤泡囊肿,是指囊壁包含一个未萌出的牙冠并附着于该牙的牙颈部的囊肿。该病多发生在10~39岁,且以男性多见,发病部位以下颌第三磨牙区最常见,其次为上颌单尖牙、上颌第三磨牙和下颌前磨牙区。常采用手术治疗,一般经过手术治疗后很少复发,总体预后较好。
(2)婴儿龈囊肿,即新生儿牙板囊肿,是指来自牙龈内断离的牙板剩余,上皮中央角化、脱落而形成的囊肿。该类牙源性囊肿多发生于新生儿或出生后1~2个月的婴儿中,而3个月以后则极为罕见。且多见于上颌,由于其生长缓慢,可自行退变或脱落至口腔,所以通常不需要治疗。
(3)成人龈囊肿,可发生于任何年龄,但以40岁以上者多见。该病与发育性根侧囊肿相似,两者较容易被混淆,但成人龈囊肿一般发生在牙龈软组织上,不侵犯骨组织或仅导致局部牙槽骨表面的压迫性吸收,而发育性根侧囊肿则发生于牙槽骨内。事实上,成人龈囊肿并不常见,而且该病在临床上多表现为生长缓慢、无痛性,一般在局部手术切除后不会出现复发。
(4)发育性根侧囊肿,指的是发生于活髓牙根侧或牙根之间的牙源性发育性囊肿。该病与炎症刺激无关,并且可发生于任何年龄中,其中,约70%的患者发生在下颌,以尖牙和前磨牙区为最多见。该病主要治疗方法为手术治疗,手术摘除后一般很少会出现复发。
(5)萌出囊肿,是指发生于覆盖在一个正在萌出的乳牙或恒牙牙冠表面的黏膜软组织内,是发生于骨外软组织内的含牙囊肿,也即萌出牙的缩余釉上皮与釉质之间液体潴留而形成的囊肿。萌出囊肿多发于20岁以下的患者。
(6)腺牙源性囊肿,又称为牙源性产黏液囊肿或唾液腺牙源性囊肿。这是一种罕见的颌骨囊肿,其临床上多表现为颌骨局部膨大,无痛,且术后有复发的倾向,复发率一般为21%~54%。
炎症性牙源性囊肿:
炎症性牙源性囊肿通常包括根尖囊肿和牙旁囊肿。根尖囊肿,是颌骨内最常见的牙源性囊肿,常见于20~49岁,其中以男性患者居多,约60%的囊肿发生在上颌,通常以上颌切牙和单尖牙为好发部位。对小的根尖周囊肿,一般在根管治疗后可能消退,无需手术,而对于难以消退或者病变范围较大的根尖囊肿,通过联合保守治疗和根尖手术进行治疗即可取得较好的临床治疗效果。
而牙旁囊肿则比较少见,这是一种特殊类型的炎症性根侧囊肿,常发生于阻生下颌第三磨牙的颊侧或远中颊侧,患者常有冠周炎病史,牙齿为活髓。
牙源性颌骨囊肿好发于年轻人,可造成颌骨及邻近组织的破坏,导致口腔颌面部外形改变,某些侵袭性病损具有较高的复发倾向,可对患者的生存质量及心理健康造成严重影响。
如何治疗?
牙源性颌骨囊肿的手术治疗方法应根据囊肿类型、患者年龄、病变大小及罹患部位等决定。青少年含牙囊肿,预期囊内含牙可自行萌出者,可采用袋形术。囊腔内的牙根据具体情况拔除或行根管治疗,病变范围较小的颌骨牙源性囊肿,刮除术为最好的治疗方法。囊肿巨大时可先行袋形缝合术,待囊肿缩小后再行手术。
总之,一旦确诊后,应及时进行手术治疗,以免引起邻近牙的继续移位和造成咬合紊乱。一般从口内进行手术,如伴有感染须先用抗生素或其他抗菌药物控制炎症后再做手术治疗。术前应行X线片,以明确囊肿的范围与邻近组织关系。
更多健康知识,欢迎关注,每周与大家分享,希望对大家有所帮助!
放疗常见的副作用有哪些?如何防治?肿瘤医生告诉你
高龄肿瘤患者是否只能坐以待毙?看92岁右颊癌患者如何转危为安
罕见!云南一老人长7斤重巨大肿瘤!注:术中图片或引起不适
丁书明
