科技改变生活 · 科技引领未来
头痛,相信每个人都经历过,
有些人偶尔头痛一两次,
还有一些人长期为之困扰。
这个症状虽然很平常,
但是致病的原因却有很多,
很多时候让临床医生颇感棘手。
最近,杭州市中医院神经内科
就接诊了这样一位病人。
头痛得要命
26岁女子竟患上脑静脉血栓
““医生,我头痛……”
“头痛痛了多长时间了?在哪个位置?”
“大概一周前吧,和朋友一起多喝了点酒,睡醒后头就开始痛了,刚开始是在额头这里痛起来很厉害,躺下休息休息稍微好点,一会儿又开始痛了,本来以为是酒喝多了有点上头就没当回事,吃了点止痛药后又开始断断续续了,从昨天开始头痛加剧了,还吐了一次,人也没什么胃口,所以来医院看看,现在也痛得要命”。
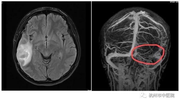
眼前这位邵女士才26岁,门诊医生仔细询问了既往史,发现患者没有什么基础疾病,或许是因近期工作压力太大或者不规律作息引起的,但出于安全考虑还是让她做了头颅核磁共振。然而报告却显示患者的左侧颞叶、枕叶不均匀异常信号,考虑急性期血肿可能,同时左侧乙状窦、横窦部也有不均匀的高信号。

“脑内出血?这怎么可能!”看到报告单的邵女士明显慌了神,神经内科专家立即安排她住院做进一步检查,病房医生为患者行腰椎穿刺检查,虽然检查结果没什么问题,但报告提示患者凝血功能里面D-二聚体轻微升高了,而和这个指标有关的提示血栓性的疾病。杭州市中医院神经内科副主任方芳看着这个报告,又结合患者的头颅磁共振影像结果,再次仔细询问患者整个发病过程:
“发病之前有没有吃过什么特殊的药啊?比如说避孕药之类的?”
“这个也有影响吗,头痛前一周确实吃了一次,但是我很早之前就开始吃了,吃了很久了啊。”原来邵女士患有多囊卵巢综合征,长期口服避孕药降低雄激素水平。
患者有口服避孕药病史,加上凝血功能D-二聚体水平偏高,再结合磁共振检查结果,方芳主任考虑患者可能是颅内静脉窦血栓形成,随后立马给她安排了颅脑磁共振静脉血管成像MRV检查,果不其然在患者脑部发现了窦汇、左侧横窦及乙状窦栓塞(血栓),也就是颅内静脉窦血栓。神经内科医生给邵女士进行了低分子肝素及华法林抗凝治疗,经治疗后患者好转出院。
小心,这种脑血管病
特别“偏爱”年轻人
脑血管和水管一样,用久了难免出问题。不过水管坏了换条新的就好,脑血管坏了可不是闹着玩的,如果血管中的血栓堵住脑动脉,就会导致我们熟悉的“脑中风”;而脑静脉堵了,则会引起一种特殊的“脑中风”,这种脑中风起病虽然相对较缓慢,但却更容易被误诊,进而危及生命。
首先我们要知道:心脏里的血液会通过脑动脉进入大脑,经脑静脉流出,如此维持大脑的正常血液循环。但是大脑的静脉系统有点奇特,它由众多的静脉窦与静脉形成,而静脉窦很多时候会成为脑部血栓堵塞的高发地。

颅内静脉系统血栓,又称为脑静脉窦血栓,是由多种病因所导致的以脑静脉回流受阻、脑脊液吸收障碍为特征的一组特殊类型脑血管病,发病部位最常见于上矢状窦、横窦和乙状窦,其次为海绵窦和直窦。
一般脑血管病患者以中老年者居多,但脑静脉窦血栓却特别“偏爱”年轻人。据统计,脑静脉窦血栓中约78%的患者是在50岁以下,多见于20~35岁女性,男女发病的比例约为1:3。与脑动脉血栓形成相比,脑静脉窦血栓形成是一种比较复杂的脑血管疾病,发病率并不高,但病因、发病形式和临床表现都没什么特异性,目前已知的病因有感染,如眶、鼻窦、面部化脓性感染、中耳炎、乳突炎或全身感染;另外也与脱水、营养不良、凝血障碍、血液病等非感染因素有关。
那为什么口服避孕药会导致静脉窦血栓呢?这是因为市面上的避孕药主要成分包含雌激素和孕激素,这些成分可增加血液黏度,促进凝血;而孕激素能增加静脉容积,降低血流量,起到“协同作用”导致血栓形成。
“头痛”不是小事
也可能是“慢放”的脑血栓
相比于动脉血栓,脑内静脉血栓发病时间相对较缓,症状更容易和其他疾病混淆,从而延误了治疗的最佳时机,所以更应该引起大家重视。
一般来讲,脑静脉窦血栓常见的临床表现是头痛、癫痫发作,意识和精神障碍,而血栓形成后会导致脑血液回流障碍,引起脑压增高,由此可造成脑部的缺血及脑梗塞,严重的会导致大量脑出血危及生命。
年轻人群如果突然出现了一些非特异性的表病症如头痛、恶心、呕吐等,不能大意忽视,更不要轻易服用止痛药,以免耽误诊断,需要警惕是否与脑静脉系统病变有关,第一时间去神经内科就诊。
预防脑血管疾病
这几点要牢记
随着目前社会节奏的日益加快,年轻人的压力越来越大,饮食及作息不规律,不健康的生活方式导致许多血管性疾病日益年轻化。
如何预防脑静脉血栓的形成,可以从以下几点开始:戒烟戒酒、控制体重、控制血压、育龄期女性避免长期服用避孕药,适当运动等。

方芳还提醒,即使真的确诊了脑静脉窦血栓也不用过度害怕,抗凝治疗是目前最常见的治疗方法,绝大多数患者在抗凝治疗后预后良好,但也有一些严重的静脉窦血栓患者会出现病情的恶化,此时可以选择血管内治疗,也是一种安全有效的治疗方法,绝大多数患者的预后良好。
来源: 扬子名医团
