科技改变生活 · 科技引领未来
继续分享今日门诊所看的部分病人的片子,共同学习,共同进步。欢迎共同探讨。病例177岁老年女性,户外行走时摔伤,导致的右髌骨及左桡骨远端骨折伴尺骨茎突骨折右髌骨骨折髌骨骨折手术指征:因髌骨骨折是关节内骨折,关节面出现台阶或塌陷超过2mm、伸膝
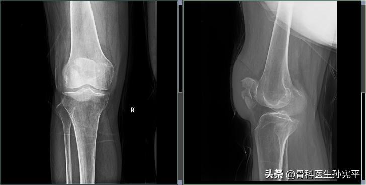
继续分享今日门诊所看的部分病人的片子,共同学习,共同进步。欢迎共同探讨。
病例1
77岁老年女性,户外行走时摔伤,导致的右髌骨及左桡骨远端骨折伴尺骨茎突骨折

右髌骨骨折
髌骨骨折手术指征:因髌骨骨折是关节内骨折,关节面出现台阶或塌陷超过2mm、伸膝完整性破坏(不能抗重力伸膝)、骨折间隙大于2mm时均需手术治疗。
病例2
患者65岁,户外行走滑倒右手撑地,导致腕部损伤。
病例3
外伤后右侧胸壁疼痛,深呼吸、咳嗽诱发疼痛加重。
对于肋骨骨折CT检查不仅可以明确骨折情况,同时可以更有效地判断是否合并肺挫伤、胸腔积液、气胸等情况。
病例4
外伤后髋部疼痛 2小时。
病例5
外伤后左踝关节肿痛3小时,可自行行走,步态跛行,对于外伤后软组织肿胀明显的情况,拍片子检查是很必要的。外踝骨折、骨折无明显移位,给予保守治疗。
病例6
患者男性33岁,腰部撞伤后疼痛、活动部分受限,虽然没发现骨折,但是腰椎增生对于33岁年轻人来说有点早了。
病例7
家属送小朋友上学时被车门挤伤右手示指。
病例8
57岁、男性患者,小腿骨不连术后3年,此次交通事故外伤,这个腿经不起再次骨折的打击了。
病例9
老年女性,摔倒后右腕部“银叉”畸形2小时。
病例10
75岁,男、下楼梯摔伤左侧髋部。
这就是今天出门诊在看的病人中随机抽去了几张比较简单、病变清晰可见的片子,逐渐会分享一些模棱两可的片子,欢迎读片。
高悦东
