科技改变生活 · 科技引领未来
一、概念:是由十二指肠液,胃液反流到食管引起的食管黏膜炎症。
二、症状:典型的症状多发生于餐后1小时。表现为胃或十二指肠内容物在无恶心和不用力的情况下反到咽部或口腔,常带有酸味,俗称返酸。或者是胸骨后有烧灼感,俗称烧心。卧位或弯腰、用力时症状明显。不典型的症状表现为胸痛,类似心绞痛,可有放射痛。
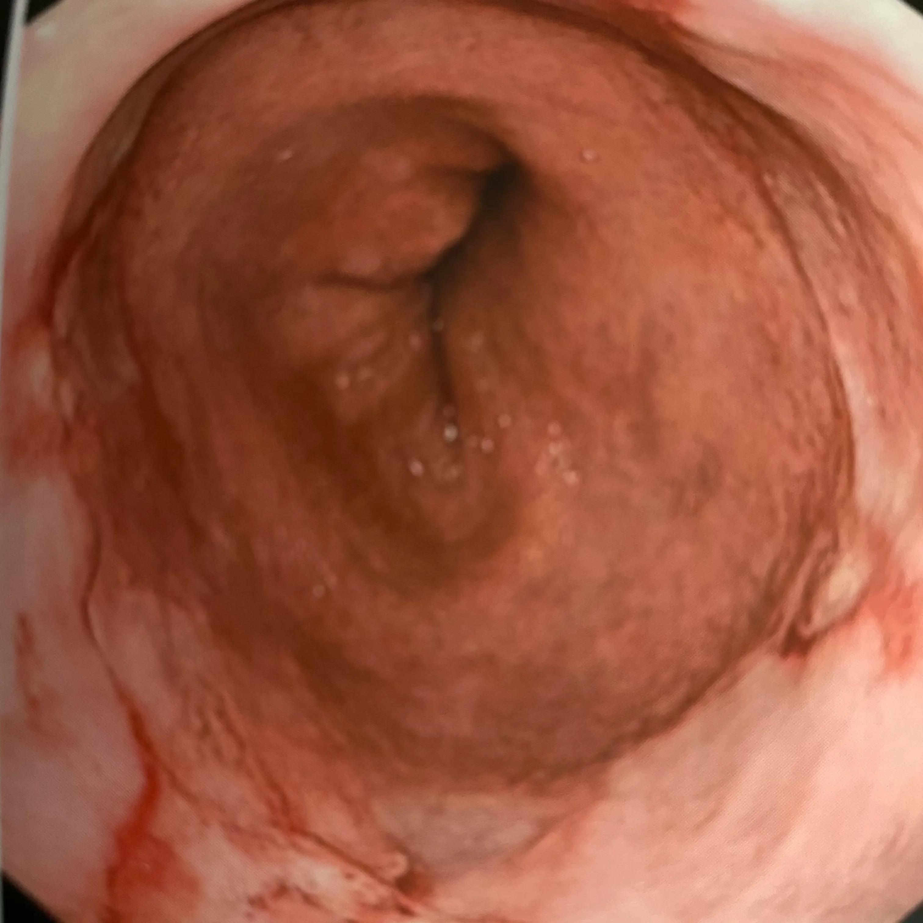
三、检查:胃镜是诊断反流性食管炎的最准确的方法,胃镜下表现为食管黏膜的充血、糜烂、溃疡等。如下图:

四、鉴别:需要与食管癌、感染性食管炎、药物性食管炎、心绞痛、功能性烧心等鉴别。以下为表面凹陷型食管癌内镜下表现:

五、治疗:
1.抑酸药:若无禁忌症可以选择质子泵抑制剂,效果强大。如艾司奥美拉唑镁肠溶片、兰索拉唑、泮托拉唑等。餐前半小时服用。
2.促进胃肠动力药:若无禁忌症可以选择促进胃肠动力药物,减少胃十二指肠内容物的返流,与质子泵抑制剂联用效果佳。常见药物有吗丁啉、莫沙必利等。餐前半小时服用。
3.餐后可以服用康复新液,保护食管黏膜。因为餐后胃液分泌增加,此时服用能更好减轻食管黏膜被反流的胃液损伤。
以上药物疗程8周。
六、改变生活方式及合理饮食建议:
1.戒烟禁酒。
2.饭后不宜立即卧床,睡前2小时内不宜进食,睡觉时可将床头抬高20公分。
3.减肥,改善便秘,避免服用浓茶、巧克力、咖啡、高脂肪食物。
4.谨慎使用钙离子拮抗剂、硝酸酯类、抗胆碱能类药物。

祝您健康!
马书林
