科技改变生活 · 科技引领未来
现如今,根据国家卫生统计表现的数据,患有肺部疾病的患者,正在逐年递增。而肺结节是一种多器官、多系统的肿瘤性疾病,病因尚未明确,可导致肺部不适。现在社会飞速发展,我们居住的空气环境质量不断变化,香烟燃烧后释放出许多有害物质。在厨房做饭时会产生对肺部有刺激性的烟雾,工作环境中不可避免的环境通过呼吸道进入肺部。我们一直在不断挑战肺部的承受能力,一旦肺部抵抗能力越来越低,就会增加肺结节的风险。

肺部的重要性不言而喻,是维持器官和机体正常呼吸的氧气和二氧化碳,造血的重要作用是维持血氧平衡。肺又称“大器官”,稍有疏忽就会损害肺的正常功能。而且,现在卫生统计发现,每5个人中,就存在一个肺结节患者。
体检中“器官结节”的检出率越来越高,尤其是“肺结节”、“乳腺结节”和“甲状腺结节”。临床上很多患者拿到报告之后,对此也认识不足发现“结节”2个字,就出现恐惧,恐慌的心理。

三种结节有可能是良性,也可能会出现恶性的情况。那么要判断是良性还是恶性,需要根据年龄,出现的症状,具体检查报告结果,才能综合判断。
数据显示,以肺结节为例子,通过正常体检发现的肺部结节,小于5mm,恶性的可能仅有1%,也就是说,普通体检发现肺结节,80%~90%都是良性的。还有10%~20%需要根据年龄,症状等因素来综合考虑。

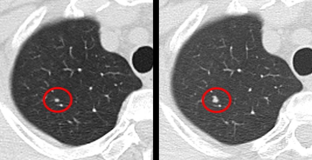
那么恶性结节,怎么样才能快速发现呢?首先检查报告的时候就能看出端倪,第一直径比较大;其次是从发现之后短短几个月,结节外形会有新的变化,这种情况就要及时治疗了。临床给出的经验是,直径在10毫米以下的,建议患者每三个月复查一次。
体检查出肺结节,没有4个&34;特征&34;,别太担心!多半是良性:
一、没有出现奇怪的形状
通常检查报告显示,边界清晰,形状比较规则,没有出现奇怪的形状;而恶性的话,检查报告会提示,形状会出现毛刺,分叶,小泡征等信息;这种情况就需要复查,排除是否存在恶性的可能。

二、结节大小没超过1.5cm
大家可以想象一下,超过1.5cm的结节,到底有多大。通常正常体检的结果,80%都属于良性结节,形状大小会小于1cm。如果超过1.5cm,这种就是实性结节了。这个时候有很大概率是肺癌。这里值得提醒大家,结节大小大于8mm,并且报告单提示着“混合磨玻璃结节”这个关键词的话,也要注意是否有恶性的可能。
三、右上肺没有出现结节
根据临床经验来看,恶性结节通常出现在右上肺,所以根据部位的情况来分析,出现部位也是判断是否存在恶性肿瘤的一个指标。如果没有出现在右上肺这个区域,那么90%的可能良性。只需要3个月,或者半年复查一次即可。

四、出现结节,复查是没有发现在增长
我们去医院体检,体检报告显示肺结节,通常情况医生都会叮嘱“定期复查”,所以这里也建议大家,5mm以下的结节,可以在一年复查一次。对于5~8mm的结节,首先排除“混合磨玻璃结节”,这种情况3~6个月检查一次。
如果肺结节在两年都没有明显增长的话,那就不用担心了。如果是短期内快速变大,那这种情况就要快速介入治疗了。

查出良性肺结节,做好4件事,肺结节就会悄悄消失
1、放松心情
有的人经常会因为,患疾病都没开始发展,自己就被医学名字吓得半死,整天焦虑、抑郁。而这样的心态往往会导致病情恶化,对他们的健康没有任何好处,而不良的情绪只会刺激到结节,不断变大。
2、做好个人防护
结果表明,对于生病的人来说,肺结节的患者有长时间吸烟、接触二手烟的倾向。或从事粉尘、化工等行业的患者。另外,减少香烟的吸入,在二手烟、粉尘等环境下戴口罩。同时,在居室中确保通风,空气湿润,有利于肺结节的恢复。

3、坚持锻炼
患肺结节的人必须养成适度运动的好习惯。适度的运动有助于我们身体排出毒素。有预防肺病的效果。建议每天进行一定强度的有氧运动30分钟以上。
何书
